Bebelușii, mai ales nou născuții, sunt foarte vulnerabili la viruși și bacterii. Părinții ar trebui să aibă mare grijă cu...
Deși băiatul din imagine nu mai avea nimic și era obligat să trăiască pe stradă, el încă mergea la școală,...
Mulți oameni folosesc machiaj pentru a arăta mai bine. Câteodată le poate lua unor femei chiar și ore întregi pentru...
Caitlyn, o angajată a site-ului BrightSide, l-a lăsat pe soțul ei să-i aleagă hainele timp de o săptămână. Bărbatul i-a...
Pozele oribile din actele oficiale, fie că sunt din buletin sau din permisul de conducere, par a fi o parte...
Peste 2,2 de milioane de oameni au privit și s-au minunat de transformarea uluitoare a acestei femei. Numele ei este...
Un bărbat a fost nevoit să plece pentru câteva săptămâni într-o călătorie de afaceri. În tot acest timp a vorbit...
Poștașul trecea în fiecare zi pe la poarta lor fără să lase nici măcar o scrisoare. Așa că într-o zi...
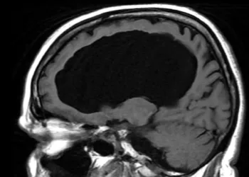
Când un bărbat a ajuns la un spital din Franța plângându-se că are o durere de picior, în 2007, Dr....
Evan Fasciano, un băiețel de cinci ani din Connecticut, SUA, s-a născut cu o boală rară- ihtioză fetală, cunoscută și...
© 1998-2026 ROL.ro | Contact